ضمن سلسلة خدماته المجانية .. مستشفى الكفيل يتكفل بعملية مجانية لطفل مصاب باعوجاج العمود الفقريِ
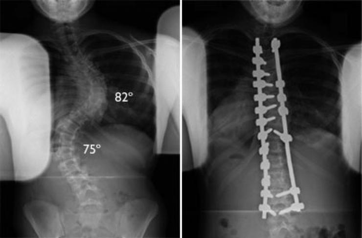
أعلن فريق طبي بمستشفى الكفيل التخصصي نجاحه بعملية تعديل إعوجاج العمود الفقري (سكوليوسز) لطفل بعمر سبعة أعوام، فيما أشاد ذوو الطفل بتكفل المستشفى بإجراء العملية بشكل مجاني. وقال رئيس الفريق الطبيب السوري، د. وائل قاسم اختصاصي جراحة العمود الفقري، ان فريقنا نجح بإجراء عملية لطفل بعمر سبعة أعوام يعاني من اعوجاج العمود الفقري (سكوليوسز). مبيناً "ان العملية إستغرقت قرابة الـ(9) ساعات واجريت بتقنيات طبية حديثة وفرها المستشفى، وإستعاد الطفل إستقامة عموده الفقري بشكل جيد. من جانبه قال والد الطفل ويدعى (م ـ ج)، ان المستشفى تكفل بإجراء العملية لولدي بشكلٍ مجاني بعد أن وجهت مناشدة لإدارته وتمت الإستجابة لي سريعاً. معرباً عن شكره للمستشفى لما يقدمه من خدمات مجانية للمرضى المحتاجين من مختلف محافظات البلاد، ومساهمته بمعالجة المرضى الذين لا يملكون ثمن العلاج وغير قادرين على السفر للعلاج في الدول الإخرى.

# #مستشفى الكفيل التخصصي #رئيس الفريق الطبيب السوري، د. وائل قاسم